periodontal and dental implants logo 01
Medically Reviewed By Periodontal & Implant Surgeons of Houston
21 January 2026
Home » All-on-4 treatment » All on 4 Dental Implants Houston: Is It Right for Severe Bone Loss?
all on 4 implants

If you’ve been told you have severe bone loss, chances are you’re feeling stuck. Dentures feel unstable. Traditional implants sound complicated. Bone grafting feels like a long road. And then you hear about all on 4 dental implants Houston and wonder if it’s a real solution or just another shortcut wrapped in marketing.

That doubt is fair. All-on-4 can be life-changing for the right patient. It can also fail badly when used in the wrong situation. This guide breaks down what actually matters, without hype, pressure, or oversimplification.


What All-on-4 Really Is (and What It Isn’t)

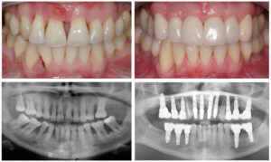
All-on-4 is a full-arch implant solution where four implants support an entire upper or lower set of teeth. Two implants are placed vertically in the front, and two are angled toward the back to maximize existing bone.

What it is:

  • A fixed, non-removable solution 
  • Designed to reduce the need for extensive bone grafting 
  • Often allows same-day temporary teeth

What it isn’t:

  • A one-size-fits-all answer 
  • A replacement for proper diagnosis 
  • A guarantee against future bone issues

Understanding that difference is key.


Why Severe Bone Loss Changes the Conversation

Periodontal-disease-dental-implants

Bone loss doesn’t happen overnight. It’s usually the result of long-term tooth loss, gum disease, ill-fitting dentures, or failed dental work. When bone volume is reduced, traditional implants often require grafting to rebuild the foundation.

This is where All-on-4 gets attention. By angling the rear implants into denser bone areas, it can sometimes bypass grafting entirely.

But “sometimes” matters.


Is All-on-4 a Shortcut?

Short answer: it can be, if done poorly.

Long answer: All-on-4 is not a shortcut when it’s planned correctly. It becomes risky when it’s used to avoid diagnostics, experience, or surgical judgment.

For patients with advanced bone loss, the margin for error is smaller. Implant placement angles, bite forces, and bone density all matter more, not less.


When All-on-4 Works Well for Severe Bone Loss

All-on-4 can be a smart solution when:

  • Bone loss is concentrated in the back of the jaw 
  • Front bone density is still strong 
  • Sinus anatomy allows for angled placement 
  • The bite can be properly balanced

In these cases, All-on-4 avoids grafting while still delivering long-term stability.


When It’s Not the Right Choice

All-on-4 is not ideal when:

  • Bone loss is severe throughout the entire jaw 
  • There is uncontrolled periodontal disease 
  • Medical conditions affect healing 
  • Bite forces are extreme and unmanaged

In those situations, forcing All-on-4 can lead to implant failure, fractures, or accelerated bone loss later.


The Biggest Mistake Patients Make

The most common mistake is assuming All-on-4 automatically means “no bone grafting required.”

That’s not always true.

Some cases still benefit from minor grafting or alternative implant designs. Skipping that step just to advertise speed or lower cost often backfires.


The Role of Imaging and Planning

For dental implants Houston, especially All-on-4 cases, planning is everything.

Proper evaluation includes:

  • 3D CBCT scans 
  • Bone density mapping 
  • Nerve and sinus analysis 
  • Bite force assessment

Without these, implant placement becomes guesswork.

This is where experience separates outcomes.


How Long Do All-on-4 Implants Last with Bone Loss?

How Long Do All-on-4 Implants Last with Bone Loss

 

When done right, All-on-4 implants can last decades. Long-term studies show high survival rates when implants are placed with proper torque, spacing, and bite control.

 

 

Failures tend to occur when:

  • Implants are overloaded 
  • Hygiene access is poor 
  • Maintenance is ignored 
  • The case was pushed beyond its limits

Longevity depends more on planning than on the number “four.”


Choosing the Right Implant Dentist in Houston for All-on-4

Not every implant dentist houston should be offering All-on-4.

This procedure requires:

  • Advanced surgical training 
  • Experience with complex bone loss cases 
  • Prosthetic planning knowledge, not just surgery

Ask direct questions:

  • How many All-on-4 cases have you completed? 
  • What happens if bone loss is worse than expected? 
  • How do you manage bite forces long-term?

Clear answers usually signal real expertise.


Where Periodontal and Implant Surgeons of Houston Fits In

At Periodontal and Implant Surgeons of Houston, All-on-4 is evaluated as one option among many, not a default answer. Cases with advanced bone loss are approached surgically, with detailed diagnostics guiding whether All-on-4, grafting, or alternative full-arch solutions are more predictable.

Dr. Arun Vashisht contributes prosthetic insight to ensure that implant placement supports not just stability, but long-term function and comfort.


Cost vs Value in All-on-4 Cases

Patients often focus on price first. That’s understandable. But All-on-4 done cheaply often becomes expensive later.

Hidden costs can include:

  • Implant replacement 
  • Bone reconstruction after failure 
  • New prosthetics 
  • Extended downtime

True value comes from doing it once, correctly.


Maintenance Still Matters

All-on-4 teeth are fixed, but they’re not maintenance-free.

Long-term success depends on:

  • Professional cleanings
  • Home care access
  • Regular checkups
  • Monitoring bone levels

Skipping maintenance is one of the fastest ways to lose implants, even well-placed ones.


Conclusion

All-on-4 is neither a gimmick nor a miracle. For patients with severe bone loss, it can be a smart solution when anatomy, planning, and expertise align. When used as a shortcut, it creates problems that are far harder to fix.

If you’re considering all on 4 dental implants Houston, focus less on speed and more on strategy. The right plan protects your bones, your investment, and your long-term comfort.