periodontal and dental implants logo 01
Medically Reviewed By Periodontal & Implant Surgeons of Houston
30 January 2026
Home » Study Club » Cosmetic Dentistry Houston TX: Why Some Smile Makeovers Look Fake
Cosmetic Dentistry Houston TX

If you’ve been scrolling through before-and-after photos while researching cosmetic dentistry houston tx, you’ve probably noticed something unsettling. Some smiles look incredible. Natural. Effortless.
Others look… off.

Too white. Too straight. Too perfect in a way that doesn’t feel human.

Most patients don’t worry about getting cosmetic dentistry. They worry about getting cosmetic dentistry that looks fake. And that fear is justified, because bad smile makeovers don’t happen by accident. They happen because of rushed decisions, wrong proportions, and shortcuts that ignore how real faces actually work.


The Biggest Myth in Cosmetic Dentistry

The biggest myth is that whiter and straighter always means better.

It doesn’t.

A great smile isn’t defined by how bright it is. It’s defined by how well it fits your face, your lips, your age, and even your personality. When cosmetic dentistry ignores that, the result feels artificial, even if the work is technically “perfect.”

Over-Whitening Is the First Red Flag

One of the fastest ways a smile makeover looks fake is over-whitening.

Ultra-white shades reflect light differently than natural enamel. Under bright lights or in photos, they can look flat and opaque, almost like piano keys. Natural teeth have depth, translucency, and slight variation. When all of that is erased, the smile stops looking real.

In smile makeover houston cases, the best results often use softer, natural tones that blend with skin tone and facial features instead of overpowering them.


Proportions Matter More Than Teeth Count

Another common issue is wrong tooth proportions.

Teeth aren’t supposed to be identical rectangles. Each tooth has a specific width-to-height ratio. When veneers or crowns are made too wide, too long, or too uniform, the smile loses harmony.

This is especially noticeable when:

  • Front teeth are too long for the face
  • Side teeth don’t taper naturally
  • The smile line doesn’t follow the lower lip

These mistakes usually come from designing teeth in isolation, not as part of a full facial system.


Rushed Cosmetic Dentistry Shows Every Time

Speed is another silent killer of good cosmetic work.

Same-day smiles and fast-track veneers are heavily marketed. And while speed has its place, it often comes at the cost of planning. Proper cosmetic dentistry requires:

  • Smile design analysis
  • Bite evaluation
  • Facial balance assessment
  • Mock-ups or previews

When those steps are skipped, the final result may look fine up close but unnatural in real life.


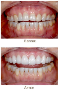
before and after cosmetic dentistry

When Teeth Ignore the Gums, Smiles Look Wrong

A smile is not just teeth. It’s teeth and gums working together.

Poorly planned cosmetic dentistry often ignores gum architecture. Uneven gum lines, excessive gum display, or teeth that look too short can throw off the entire result.

This is where esthetic crown lengthening plays a role. When done correctly, it reshapes the gum line to create better tooth proportions and symmetry. When ignored, even expensive veneers can look awkward.


Why One-Size-Fits-All Smile Design Fails

Faces are not templates. Neither are smiles.

Yet many cosmetic cases fail because they’re designed using standard shapes and popular trends rather than individualized planning. What looks great on a 25-year-old influencer may look unnatural on a 45-year-old professional.

Age, lip movement, speech patterns, and facial expressions all influence how a smile should be designed. Ignoring those factors leads to smiles that feel disconnected from the person wearing them.


The Role of a Prosthodontic Perspective

Complex smile makeovers benefit from a prosthetic mindset, not just a cosmetic one.

A prosthodontist houston approach focuses on how teeth function, wear, and age over time. That perspective helps prevent:

  • Overbuilt restorations
  • Bite imbalance
  • Premature wear
  • Long-term discomfort

Cosmetic dentistry that only looks good on day one often doesn’t age well.


Why Some Celebrity Smiles Still Look Natural

It’s easy to assume celebrities just have access to “better” dentistry. What they actually have is better planning.

Natural-looking celebrity smiles usually involve:

  • Subtle shade selection
  • Conservative tooth preparation
  • Layered materials that mimic enamel
  • Collaboration between surgical and restorative planning
  • The goal isn’t transformation. It’s refined.

At Periodontal and Implant Surgeons of Houston, cosmetic outcomes are approached through balance, not exaggeration. Gum health, bone support, and facial harmony are considered before any cosmetic enhancement is planned.

Dr. Arun Vashisht contributes a restorative and prosthetic lens to smile design, helping ensure that cosmetic changes don’t just look good in photos but feel natural in daily life.


How to Avoid a Fake-Looking Smile Makeover

Before committing to cosmetic dentistry, ask yourself:

  • Does this plan consider my face, not just my teeth?
  • Are gum levels and proportions being discussed?
  • Am I seeing mock-ups or previews before final work?
  • Is longevity being addressed, not just appearance?

If the conversation is only about whiteness and speed, that’s a warning sign.


The Bottom Line

Fake-looking smiles aren’t the result of cosmetic dentistry itself. They’re the result of shortcuts, trends, and ignoring how real faces work. The best cosmetic dentistry blends in. It doesn’t announce itself.

If you’re exploring cosmetic dentistry houston tx, look for restraint, planning, and expertise over extremes. The most convincing smiles are the ones people can’t immediately tell were ever worked on.